Family Dentist in Steger IL

Smile Gallery

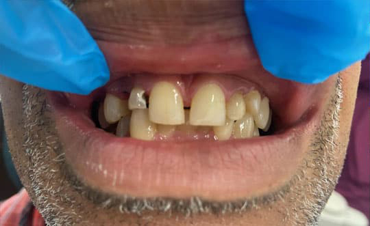
Below is one example of a full mouth reconstruction case done by Dr. Marianthi

Steger Smiles Family Dentistry | CBCT, Dentures and E4D
Steger Smiles Family Dentistry | Dentures, Extractions and Root Canals

Before

Steger Smiles Family Dentistry | Pediatric Dentistry, Oral Exams and Emergency Treatment

After

Steger Smiles Family Dentistry | E4D, Cosmetic Dentistry and All-on-4 reg

Before

Steger Smiles Family Dentistry | Dentures, Dental Cleanings and E4D

After

Steger Smiles Family Dentistry | Sleep Apnea, Digital Scanners and Dentures

Before

Steger Smiles Family Dentistry | Digital Scanners, Digital Radiography and CBCT

After

Steger Smiles Family Dentistry | Periodontal Treatment, E4D and Preventative Program

Before

Steger Smiles Family Dentistry | E4D, Dentures and Invisalign reg

After

Steger Smiles Family Dentistry | Laser Dentistry, Implant Dentistry and Cosmetic Dentistry

Before

Steger Smiles Family Dentistry | Veneers, Digital Radiography and TMJ Disorders

After

Family Dentist in Steger IL

Before

Cosmetic Dental Office 60475

After

Dental Implants Dentist in Steger IL

Before

Family Dentist in Steger IL

After

Cosmetic Dental Office 60475

Before

Dental Implants Dentist in Steger IL

After

Steger IL Cosmetic Dentist

Before

Dental Office in Steger IL

After

Steger IL Cosmetic Dentist

Before

Dental Office in Steger IL

After

Dental Office in Steger IL

Before

Dentist in Steger IL

After

Contact Us

Submit

Thank You!

We appreciate you taking the time to visit our site. We'll review your message and be in touch with you soon.

Continue
Dentist in Steger IL

Explore More

Get in Touch

Address:

3112 Union Ave, Steger, IL 60475

Hours of Operation

Monday
8:00 am - 5:00 pm
Tuesday
11:00 am - 7:00 pm
Wednesday
8:00 am - 5:00 pm
Thursday
11:00 am - 7:00 pm